Maladies de l’œil

Il existe de nombreuses maladies de l’œil. Chaque partie anatomique de cet organe peut présenter un désordre et causer un trouble oculaire. Il est important pour le patient de bien comprendre la nature de son trouble oculaire afin de prendre bien soin de sa condition visuelle. Cela permet aussi de mieux prendre en charge une maladie et de dépister les signes indiquant une détérioration. Un patient informé et averti a plus de chances d’être traité à temps, de se sentir en confiance et d’observer son traitement.

Cataracte

La cataracte est une maladie de l'œil liée à l'opacification du cristallin, normalement transparent. Le cristallin est une lentille naturelle située dans l’œil...

Glaucome

Le glaucome est une maladie dégénérative du nerf optique, entraînant une perte graduelle de la vision, commençant généralement en périphérie et progressant vers le centre...

Décollement de la rétine

C'est le décollement d'une partie de la surface de la rétine de son support caractérisé par un liquide s'interposant entre ces deux feuillets. Quand la zone de rétine décollée....

Rétinopathie diabétique

Parmi les complications dues au diabète, l’atteinte des yeux fait partie des plus connues. La rétinopathie diabétique est une atteinte rétinienne dont la fréquence...

Dégénérescence maculaire

Comme son nom l'indique, la dégénérescence maculaire résulte de la détérioration de la macula, une petite zone de la rétine située au fond de loeil...

Membrane epimaculaire

La rétine est, dans l’œil, ce qu’est la pellicule dans l’appareil photo. Elle capte l’image et permet d’en transmettre les informations au cerveau...

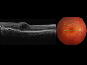
Trou maculaire

Le trou maculaire est une affection qui touche la macula, petite région d’un à deux millimètres située au centre de la rétine. C’est là qu’il y a la plus grande...

Occlusion veineuse

C’est la conséquence d’un ralentissement soudain de la circulation sanguine dans les veines de la rétine, qui peut avoir un retentissement sur l’ensemble...